Our Services
Explore our comprehensive dental services tailored to meet your needs and exceed expectations.
Emergency Consultations
Fast, professional care when dental problems strike. We help relieve pain, treat urgent issues, and get your smile back on track quickly.
Preventive Care & Hygiene
Keep your smile healthy, bright, and problem-free! Our check-ups, cleanings, X-rays, and custom guards help prevent issues before they start—so you can enjoy a confident, pain-free smile.
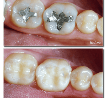
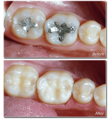
Fillings
Repair teeth damaged by decay with durable, natural-looking fillings that restore function and keep your smile healthy.
Root Canal Treatments
Save and restore an infected or damaged tooth with gentle, effective root canal care—relieving pain and preserving your natural smile.
Dentures
Extractions
Custom-made removable teeth that restore your smile, help you eat and speak comfortably, and boost your confidence.
Safe and gentle removal of damaged or problematic teeth to relieve pain and protect your oral health.
Cosmetic Dentistry
Custom-made caps that protect and restore damaged teeth, combining strength, function, and a natural, confident smile.
Crowns
Facial Aesthetics
Enhance your smile with treatments that improve the appearance, shape, and colour of your teeth—boosting your confidence and leaving a lasting impression.
Refresh your look with expert anti-wrinkle injections and lip treatments: smooth forehead lines, soften crow’s feet, relax glabella wrinkles, and enhance your lips for a youthful, natural smile.
Our Projects
Showcasing our commitment to quality care.


Advanced Technology
Utilizing the latest dental equipment for treatments.




Patient Education
Teaching proper dental hygiene practices.
Quality Treatments
Delivering exceptional care for every patient.
Contact
Get in touch with us today
Follow us
E-mail: contact@moyledentalcare.co.uk
Tel: 028 2827 3737
© 2025. All rights reserved.
Visit us
Address
137 Old Glenarm Road
Larne, County Antrim, Northern Ireland
BT40 1NH


















